|
|
|
|
|
|
Midlands Womens Health |
| Date of my first ultrasound: |
|
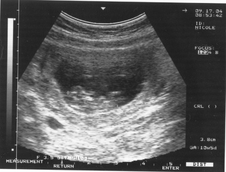
9/17/2004 |
|
4/12/2005 |
|
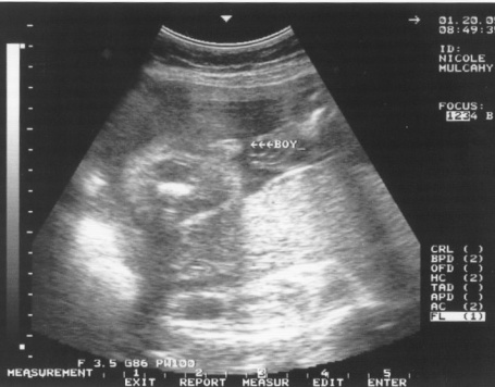
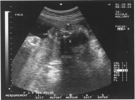
Boy |
| Date of my second ultrasound: |
|
1/20/2005 |
| My first heartbeats: |
 |
| ---------- |
 |
 |
| Feelings of mom and dad after first ultrasound: |
 |
| Mom - Darn not twins? Probably a good thing. |
 |
| Comments on the ultrasound: |
 |
| Didn't look like anything to Dad? |
 |
 |
 |
 |
|
|
| Doctor's comments: |
 |
| It's a BOY! |
|
|
 |
| Mom and dad's comments: |
 |
| Excited! Linda, Kerry, Missy, Nic, and Curt were present. |
|
|
|
|
|